Dental bonding uses a tooth colored resin dental filling material that "glue" or bond to natural tooth structure. It is used to restore teeth that have chips, cracks, erosion, bad positioning or discoloration. It is also used to close spaces or gaps between teeth for a more aesthetic appearance.
Dental bonding can be used to repair one or more teeth and in many cases does not require the patient to get numb. The bonded filling material comes in multiple tooth colors that look very natural.
How does this work? What happens during the process?
In most cases there isn't a lot of prep work needed for dental bonding. Once you and Dr. Frey have chosen the color of the material, he will apply a liquid that will make the filling material stick to your tooth. He will apply the filling material to the tooth and mold it to the right shape. The resin filling material has a photo-activator in it which allows Dr. Frey to use a light to harden the material in about ten seconds. Once the material is hardened, it is trimmed and polished.
Things to consider
Dental bonding is a more economical and conservative option than porcelain veneers and can generally be done in a single visit. Porcelain veneers generally involve two visits, in many cases require more removal of tooth structure and are more expensive because they are custom fabricated in a dental laboratory.
Dental bonded fillings are not as strong as porcelain veneers and may not be the ideal material especially to use for grinders, clenchers, or badly broken teeth. Porcelain material used for veneers and crowns is also less likely to attract stain than the resin bonded fillings, however, bonded fillings are generally simpler to repair or replace. If you are interested in dental bonding and need advice on whether you are a good candidate for dental bonding or if porcelain veneers are a better option for you, then consider scheduling a consultation with Dr. Frey by calling the office at (707) 800-3556.
The following are reasons for why dental bonding is so beneficial:
- It’s normally cheaper than other restorative methods.
- It can be done during one office session.
- It does not require the dentist to remove a lot of enamel.
- Anesthesia is usually not necessary.
- Are easy to repair or replace.
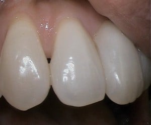
An Example of Cosmetic Bonding in Action
The first photo shows a 'black triangle' gap between the teeth. The second photo was taken 4 years after beginning cosmetic dental bonding treatment, showing and incredible improvement!

